Gujarat Cancer Society Research Journal |
|
 |
| |
|
Original Articles
Evaluation of the Expression of Estrogen receptor, Progesterone receptor and Her 2 Neu in Ovarian Cancer Patients
Trivedi Nidhi J(1), Joshi Grusha R(2), Patel Nupur A(3), Vora Hemangini H(4)
M.Sc Cancer Biology Student(1), Junior Research Fellow(2), Research Assistant(3), Professor and Head(4)
Immunohematology Laboratory, Department of Cancer Biology
Corresponding author: nupur.patel@gcriindia.org
https://orcid.org/0000-0001-8165-8696 (3)
https://orcid.org/0000-0003-3893-9999 |
Volume : 23 / Number : 1 / April 2021
|
Summary
Steroid hormone receptors expression in epithelial
ovarian cancers has been proposed to have therapeutic and
prognostic relevance. Steroid hormones, primarily estrogen,
progesterone and HER 2 Neu have been implicated in ovarian
carcinogenesis. The prognostic characterisation of ovarian cancer
patients, based on clinicopathological parameters such as age,
menopausal status, stage, histology, grade, CA 125 level and
treatment. This study mainly used to evaluate the expression of
Estrogen Receptor (ER), Progesterone Receptor (PR) and Her 2
Neu in ovarian cancer patients and correlate with
clinicopathological parameters using immunohistochemistry
technique. Nuclear ER expression was noted in tumor tissue of
60% (30/50) in ovarian cancer patients. Significatly higher ER
expression was noted with pre-menopausal status. A trend of
higher ER expression in Grade 2 tumors. Increased incidence of
disease relapse and over death noted in ER positive patients than
ER negative patients. Nuclear PR expression was found to be
positive in 60% (31/50) cases. Significantly higher PR expression
was noted in Grade 2 tumors. Similar incidence of disease relapse
and death was noted in positive PR expression and negative PR
expression. Membranous HER 2 Neu expression was found to be
positive in 18% (09/50) cases. Significantly higher HER 2 Neu
receptor expression was noted in CA 125 normal level and
histological type of Mucinous Adenocarcinoma which was
statistically significant. Higher incidence of disease relapse and
death was noted in positive HER 2 Neu and negative HER 2 Neu
patients.
Keywords: ER, PR, Her-2-neu, Ovarian Cancer |
Introduction
Ovarian cancer is the second most common
gynecologic malignancy, and in developed countries,
in women it remains the fifth leading cause of cancer
death.1 In India, it is the third leading cancer amongst
women, after cervix, and breast cancer. It is about 1 in
every 70 women have a lifetime risk of developing
ovarian cancer.2 Age is considered as a significant risk
of ovarian cancer. Ovulation, growth factors,
cytokines, and environmental agents may play an
important role in the initiation as well as progression
of ovarian cancer.3 The majority of cases are sporadic
while about 5-10% cases of ovarian cancers are
familial. However, the risk for developing ovarian
cancer increases four fold in women with affected first
degree relative. Lack of knowledge about the etiology and pathogenesis of the tumor leads to its late
diagnosis at advanced stage which presents it with
highest mortality rate. Therefore, new therapeutic
strategies and reliable screening methods for
diagnosis are urgently needed. Estrogen Receptor
(ER) and Progesterone Receptor (PR) are main
secreted hormones by ovary acting through specific
receptors.4 It is known fact that these two hormones
and their specific receptors are involved in the process
of tumor genesis in ovarian cancer. In addition,
evaluation of ER and PR by immunohistochemistry
would have advantage in the understanding of the
difference in distribution of the expression of the
protein between tumor tissues as well as surrounding
normal tissue. As well, the determination of hormone
receptor in malignant ovarian neoplasms may
probably aid in selection of patients for endocrine
therapy in a manner similar to that has been already
established for certain hormone dependent cancers.5
Human epidermal growth factor receptor type 2(Her 2
Neu) a proto-oncogene that encodes a transmembrane
receptor protein involved in the development and
progression of the majority of cancers. Studies have
shown that Her2 Neu is overexpressed in
approximately 15-30% of ovarian carcinomas.6 It has
also been tested as potential biomarkers of individualized clinical behaviour of cancers,
however, findings regarding the overexpression and
prognosis are still conflicting.6 So, the present study
aims at evaluation of the expression of ER, PR and
Her 2 Neu Receptor in ovarian cancer patients.
Furthermore to correlate their expression with various
clinicopathological parameters. |
Material and Method
Patients
This retrospective study was approved by
institutional scientific and ethics committees,
included 50 ovarian cancer patients diagnosed and
treated at The Gujarat Cancer & Research Institute. Detailed clinical history such as age, menopausal
status, histopathological type, grade, CA125 levels,
treatment offered and stage of the disease were
recorded from the case files maintained at the Medical
Record Department of the Institute. Disease staging
was done according to AJCC classification. Disease
status was assessed by clinical examination,
radiological investigations and biochemical s
investigations.
Immunohistochemical Localization
Localization of markers Estrogen Receptor
(ER), Progesterone Receptor (PR) and Her 2 Neu was
performed on Ventana Benchmark XT
autoimmunostainer using Ventana reagents (Ventana,
U S A ) . Primary antibodies were procured
commercially from Ventana, Roche Diagnostics. The
primary antibodies and secondary antibody were
incubated as follows: ER (SP1, RTU, Ventana) for 16
minutes, PR (1E2, RTU, Ventana) for 16 minutes, Her
2 Neu (4B5, RTU, Ventana) for 32 minutes, HRP
multimer for 8 minutes.
Scoring
Two individual observers scored the sections.
Nuclear staining pattern was observed for ER and PR,
while Her 2 Neu showed membranous staining
pattern. The sections were scored positive and
negative for statistical analysis.
Statistical Analysis
Statistical analysis was carried out using
SPSS statistical software version 20 (SPSS Inc.,
USA). Univariate survival analysis was carried out by
Kaplan Meier and Log Rank statistics was used to
assess the prognostic significance of disease free
survival (DFS) and overall survival (OS). P values ≤
0.05 were considered to be significant.
Results
Patient’s Characteristics and Outcome
This retrospective study included 50 patients,
30% had age ≤ 53 years, whereas 70% patients had > 53 years. Majority of the patients i.e. 80% had
postmenopausal status. In relation to pathological
characteristics more than 50% were of late stage,
having grade 3 tumor with serous papillary
adenocarcinoma and higher CA125 levels. (Table
1)The primary treatment offered to the patients was
surgery followed by adjuvant chemotherapy
(Paclitaxel + Carboplatin). The maximum follow-up
period was 68 months with a median follow-up of 12
months.
ER Expression
Nuclear expression of ER was noted in 60%
of the tumors. A significant higher incidence of ER
expression was noted with premenopausal women as
compared to postmenopausal women (p=0.03)
whereas similar incidence of ER expression was
observed with age group (Table 1; Figure 1). A trend
towards higher incidence of ER expression was
observed in patients with Grade II (p=0.09) as
compared with their counterparts. No significant
correlation was observed with other clinical and
pathological parameters. (Table 1)
ER expression in relation to survival
According to Kaplan Meier univariate
survival analysis, with respect to DFS, higher
incidence of disease relapse was noted in ER positive
(20%, 4/30) than ER negative patients (5%, 1/20).
(Table 2; Figure 2a) While with respect to OS, higher
incidence of death was noted in ER positive patients
(10%, 3/30) than ER negative patients (0%, 0/20).
(Table 3; Figure 2b)
PR Expression
Nuclear expression of PR was noted in 60%
of the ovarian cancer cases. No significant correlation
of PR expression was observed with clinical
parameters. (Table 1; Figure 3) A significant higher
incidence of PR expression was observed with Grade
II patients (p=0.02) as compared to their counter parts.
While no other pathological parameters were found to
be significantly associated with PR expression. (Table
1)
PR expression in relation to survival
According to Kaplan Meier univariate
survival analysis, with respect to DFS, a trend higher
incidence of disease relapse was noted in PR positive
(23%, 7/30) than PR negative patients (0%, 0/20).
(Table 2; Figure 4a) While with respect to OS, higher
incidence of death was noted in PR positive patients
(10%, 3/30) than PR negative patients (0%, 0/20).
(Table 3; Figure 4b)
Her 2 Neu Expression
Membranous Her 2 Neu expression was
observed in 18% of the patients. No significant
correlation of clinical parameters with Her2 Neu
expression was observed. (Table 1, Figure 5)
With pathological correlations, a significant
higher incidence of Her 2 Neu expression was
observed with mucinous adenocarcinoma as
compared to other histologic type. Also, a significant
higher incidence of Her 2 Neu expression was
observed with normal CA125 level than higher
CA125 level. (Table 1)
|
Table 1: Correlation of ER, PR and Her2Neu expression with clinicopathological parameters
| |
N |
Negative (N%) |
Positive (N%) |
Negative (N%) |
Positive (N%) |
Negative (N%) |
Positive (N%) |
| |
50 (100) |
20 ( 40) |
30 (60) |
20 (40) |
30 (60) |
41 (82) |
09 (08) |
| Age (Years) |
|
|
|
|
|
|
|
| <53 |
15 (30) |
04 (27) |
11 (73) |
06 (40) |
09 (60) |
13 (87) |
02 (13) |
| ≥53 |
35 (70) |
16 (46) |
19 (54) |
14 (40) |
21 (60) |
28 (80) |
07 (20) |
| Menopausal Status |
|
|
|
|
|
|
|
| Premenopausal |
10 (20) |
01 (10) |
09 (90) |
03 (30) |
07 (70) |
09 (90) |
01 (10) |
| Postmenopausal |
40 (80) |
19 (47) |
21 (53) |
17 (42) |
23 (58) |
32 (80) |
08 (20) |
| Histological Type |
|
|
|
|
|
|
|
Surface Epithelial
Adenocarcinoma |
06 (12) |
01 (17) |
05 (83) |
02 (33) |
04 (67) |
06 (100) |
00 (00) |
Serous Papillary
Adenocarcinoma |
28 (56) |
11 (39) |
17 (61) |
10 (36) |
18 (64) |
24 (86) |
04 (14) |
| Mucinous Adenocarcinoma |
09 (18) |
06 (67) |
03 (33) |
06 (67) |
03 (33) |
04 (44) |
05 (56) |
| Clear Cell Carcinoma |
01 (02) |
01 (100) |
00 (00) |
01 (100) |
00 (00) |
01 (100) |
00 (00) |
| Stromal Tumor |
06 (12) |
01 (17) |
05 (83) |
01 (17) |
05 (83) |
06 (100) |
00 (00) |
| Histological Grade (HG) |
|
|
|
|
|
|
|
| Grade I |
07 (14) |
04 (57) |
03 (43) |
04 (57) |
03 (43) |
04 (57) |
03 (43) |
| Grade II |
13 (26) |
02 (15) |
11 (85) |
01 (08) |
12 (92) |
12 (92) |
01 (08) |
| Grade III |
30 (60) |
14 (47) |
16 (53) |
15 (50) |
15 (50) |
25 (83) |
05 (17) |
| Stage |
|
|
|
|
|
|
|
| Early Stage |
13 (26) |
05 (39) |
08 (61) |
06 (46) |
07 (54) |
10 (77) |
03 (23) |
| Advanced Stage |
37 (74) |
15 (41) |
22 (59) |
14 (38) |
23 (62) |
31 (84) |
06 (16) |
| CA 125 level |
|
|
|
|
|
|
|
| Normal |
06 (12) |
03 (50) |
03 (50) |
03 (50) |
03 (50) |
03 (50) |
03 (50) |
| High |
44 (88) |
17 (39) |
27 (61) |
17 (39) |
27 (61) |
38 (86) |
06 (14) |
|
|
Table 2: Univariate survival analysis for disease free
survival |
Table 3: Univariate survival analysis for overall
survival |
Marker Expression
N (%) |
Remission
N (%) |
Relapse
N (%) |
| ER Expression |
|
|
| Negative 20 (40) |
19 (95) |
01 (05) |
| Positive 30 (60) |
26 (80) |
04 (20) |
Log Rank=1.04, df=1, p=0.308 |
| PR Expression |
|
|
| Negative 20 (40) |
20 (100) |
00 (00) |
| Positive 30 (60) |
23 (77) |
07 (23) |
Log Rank=3.55, df=1, p=0.06 |
| HER2 Neu Expression |
|
|
| Negative 41 (82) |
35 (85) |
06 (15) |
| Positive 09 (18) |
08 (89) |
01 (11) |
Log Rank=0.073, df=1, p=0.780 |
|
Marker Expression
N (%) |
Alive
N (%) |
Dead
N (%) |
| ER Expression |
|
|
| Negative 20 (40) |
20 (100) |
00 (00) |
| Positive 30 (60) |
27 (90) |
03 (10) |
Log Rank=1.60, df=1, p=0.205 |
| PR Expression |
|
|
| Negative 20 (40) |
20 (100) |
00 (00) |
| Positive 30 (60) |
27 (90) |
03 (10) |
Log Rank=1.410, df=1, p=0.235 |
| HER2 Neu Expression |
|
|
| Negative 41 (82) |
39 (95) |
02 (05) |
| Positive 09 (18) |
08 (89) |
01 (11) |
Log Rank=0.395, df=1, p=0.530 |
|
|
|
|
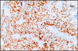
| Figure 1: Nuclear staining of ER expression in ovarian tumor
cells |
Figure 2a: ER expression in Kaplan Meier univariate survival
analysis with respect to DFS |
|
|
| Figure 2b: ER expression in Kaplan Meier univariate survival
analysis with respect to OS |
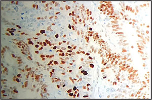
Figure 3: Nuclear staining of PR expression in ovarian tumor cells |
|
|
| Figure 4a: PR expression in Kaplan Meier univariate survival
analysis with respect to DFS |
Figure 4b: PR expression in Kaplan Meier univariate survival
analysis with respect to OS |
Her 2 Neu expression in relation to survival
With respect to DFS, Kaplan Meier univariate
survival analysis, revealed a similar incidence of
disease relapse between Her 2 Neu positive (15%,
6/41) and Her 2 Neu negative patients (11%, 1/09)
(Table 2; Figure 6a). While with respect to OS, the
incidence of death was the same between Her 2 Neu
positive patients (05%, 2/41) and Her 2 Neu negative
patients (1%, 11/09). (Table 3; Figure 6b)
Discussion
Ovary is one of the most dynamic organ which |
undergoes intensive age-dependent and ovarian cycle
dependent remodelling. In proliferation and apoptosis
of ovarian cells an equilibrium needs to be maintained
which helps with the remodelling process. In western
countries, ovarian cancer is the fourth common cause
of death in women.7 Estrogen receptor signalling is
less important in the development and progression of
ovarian cancer than for breast or endometrial cancers.
However clinical data, animal experiments, and
receptor studies have shown that malignant as well as
normal ovaries can be considered as endocrine related
and hormone dependent.8 |
| |
|
|
significantly higher in premenopausal women as
compared to postmenopausal women while PR
expression was higher in postmenopausal women.
Sylvia et al 2011 study showed higher positive ER and
PR expression in postmenopausal women.11 Whereas,
Garg et al 2014 study showed high ER and PR
expression in premenopausal women.15 In present
study ER and PR expression was significantly higher
in grade II patients as compared to their counterparts.
While other studies showed high ER and PR
expression in grade III patients.11,16 This study could
not find any significant association between ER and
PR expression with histological type as well
histological grade. With respect to survival, present
study showed higher incidence of disease relapse in
ER and PR positive patients. Similarly higher
incidence of death was noted in ER and PR positive
patients. Other studies showed similar results with
DFS and OS.17,18 In present study Her 2 Neu expression
was noted 18% of ovarian tumor cells . Overexpression of HER2 is seen in 20–30% patients
with ovarian cancer. Berchuck et al was first to
establish a close link between HER2 overexpression
with poor survival in advanced epithelial ovarian
cancer was first established by.19 In this study Her 2
Neu expression was significantly correlated with
mucinous carcinoma. Similar results were observed in
study by Sarkar et al 2015.20 Present study also showed
significant higher incidence of Her 2 Neu expression
with normal CA125 level than higher CA125 level.
Whereas, in a study by Zorn et al, 2009, noted that
higher HER 2 Neu expression was associated with
increased CA 125 level.21 With respect to survival,
similar HER 2 Neu expression was noted with DFS
and OS in the present study which was in accordance
with a study by Shandiz et al 2016.22
Conclusion
In this study we found inconsistent findings
of ER, PR and Her 2 Neu expression with clinical
parameters with various other reports so we need to study these markers in larger cohort. While, ER and
PR status may help to select the women with ovarian
malignancy for hormonal therapy which is more
likely to improve the response rate as well as
prognosis. Her 2 Neu may be used as a potential
marker to predict the poor prognosis of ovarian cancer
patients, especially for patients with unclassified
ovarian cancer
References
1. Siegel R, Ma J, Zou Z: Cancer Statistics, CA
cancer J Clin 64 2014;1: 9–29
2. Schiff M, Becker TM, Smith HO et al: Ovarian
cancer incidence and mortality in American
Indian, Hispanic, and non-Hispanic white women
in New Mexico. Cancer Epidemiology and
Prevention Biomarkers 1996;5:323-327
|
Figure 5: Membranous staining of Her 2 Neu expression in
ovarian tumor cells |
|
Figure 6a: Her 2 Neu expression in Kaplan Meier univariate
survival analysis with respect to DFS |
|
Figure 6b: Her 2 Neu expression in Kaplan Meier univariate
survival analysis with respect to OS |
In this study ER and PR expression was noted
in 60% of ovarian tumor cells. A variable range of ER
and PR expression have been demonstrated by various
groups in the range of 33% to 90% in ovarian
tumor.9,10,11,12,13 In present study ER expression was
higher in older age group. Studies by Sylvia et al,
2011 and Verma et al, 2018 showed higher ER
expression in older age group.11,12 Whereas, PR
expression was similar in both age group in present
study. A study by Jin et al, 2016 was found to have
similar PR expression in younger and older age.14 With
respect to menopausal status, ER expression was |
3. Vanderhyden BC, Shaw TJ, Garson KE et al:
Ovarian carcinogenesis. The Ovary. San Diego,
Elsevier Science 2003
4. Shabani N, Mylonas I, Jeschke U et al: Expression
of estrogen receptors α and β, and progesterone
receptors A and B in human mucinous carcinoma
of the endometrium. Anticancer Research
2007;27:2027-2033
5. Scambia G, Ferrandina G, D'Agostino G et al:
Oestrogen and progesterone receptors in ovarian
carcinoma. End ocrine -Related Cancer.
1998;5:293-301
6. Verri E, Gugliemini P, Puntoni M et al: HER2/neu
oncoprotein overexpression in epithelial ovarian
cancer: evaluation of its prevalence and
prognostic significance. Clinical study: Oncology
2005;68:154-161
7. Jiang JY, Cheung CK, Wang Y et al: Regulation of
cell death and cell survival gene expression
during ovarian follicular development and atresia.
Front Biosci 2003;8:222-237
8. De Stefano I, Zannoni GF, Prisco MG, Fagotti A et
al: Cytoplasmic expression of estrogen receptor
beta (ERβ) predicts poor clinical outcome in
advanced serous ovarian cancer. Gynecologic
Oncology 2011;122:573-579
9. Naik PS, Deshmukh S, Khandeparkar SG et al:
Epithelial ovarian tumors: Clinicopathological
correlation and immunohistochemical study.
Journal of Mid-Life Health 2015; 6:178
10. Jönsson JM, Arildsen NS, Malander S et al: Sex
steroid hormone receptor expression affects
ovarian cancer survival. Translational Oncology
2015; 8:424-433
11. Sylvia MT, Kumar S, Dasari P: The expression of
immunohistochemical markers estrogen receptor,
progesterone receptor, Her-2-neu, p53 and Ki-67
in epithelial ovarian tumors and its correlation
with clinicopathologic variables. Indian Journal
of Pathology and Microbiology 2012; 55:33-37
12. Verma N, Kumar M, Sagar M et al: Expression of
estrogen receptor, progesterone receptor, and
human epidermal growth factor receptor type
2/neu in surface epithelial ovarian tumors and its
clinicohistopathological correlation. Indian
Journal of Health Sciences and Biomedical
Research (KLEU) 2018;11:19-24 |
13. Gómora MJ, Morales-Vásquez F, Pedernera E et
al: Sexual steroid hormone receptors profiles of
ovarian carcinoma in Mexican women.
Endocrine Connections 2018;7:1006-1012
14. Lin J, Xi C, Liu C et al: Immunostaining Study on
the Expression of NF-κB, ER, and PR in Ovarian
Serous Carcinoma. International Journal of
Gynecological Pathology 2017;36:58-63
15. Garg S, Marwah N, Chauhan G et al: Estrogen and
progesterone receptor expression and its
correlation with various clinicopathological
parameters in ovarian tumors. Middle East
Journal of Cancer 2014;5:97-103
16. Hellström I, Goodman G, Pullman J et al:
Overexpression of HER-2 in ovarian carcinomas.
Cancer Research 2001;61:2420-2423
17. Liew PL, Hsu CS, Liu WM et al: Prognostic and
predictive values of Nrf2, Keap1, p16 and Ecadherin
expression in ovarian epithelial
carcinoma. International Journal of Clinical and
Experimental Pathology 2015; 8:5642-5649
18. De Toledo MC, Barreta A: The role of steroid
receptors and HER2 in ovarian cancer. J Carcinog
Mutagen 2014; 5:158-163
19. Berchuck A, Kamel A, Whitaker R et al:
Overexpression of HER-2/neu is associated with
poor survival in advanced epithelial ovarian
cancer. Cancer Research 1990; 50:4087-4091
20. Sarkar M, Jha T, Das TK et al: Spectrum of
epithelial ovarian tumors with HER2/neu
expression by the carcinomas among patients
admitted in a tertiary care hospital in Eastern
India. International Journal of Medical Science
and Public Health 2015, 1; 4:1388-1392
21. Zorn KK, Tian C, McGuire WP et al: The
prognostic value of pretreatment CA 125 in
patients with advanced ovarian carcinoma: a
Gynecologic Oncology Group study. Cancer:
Interdisciplinary International Journal of the
American Cancer Society 2009; 115:1028-1035
22. Shandiz FH, Kadkhodayan S, Ghaffarzadegan K
et al: The impact of p16 and HER2 expression on
survival in patients with ovarian carcinoma.
Neoplasma 2016; 63:816-821 |
|
|
 |
|
 |
OPD Information |
 |
NABH Certified |
 |
Ethics Committee Accredited for NABH |
 |
ISO 15189:2012 |
|