Gujarat Cancer Society Research Journal
 

Case Report
Myeloid Sarcoma with Isolated Symptomatic Central Nervous System Involvement

(a)Chelikani Siddhardha R(1), Parikh Sonia K(2), Panchal Harsha P(3), Patel Apurva A(4), Behl Shruthi R(1), Kunal Jain(1)
Resident(1), Professor and Head of Unit(2), Professor and Head of Department(3), Professor and Head of Unit(4)
Department of Medical and Pediatric Oncology,
The Gujarat Cancer & Research Institute, Ahmedabad, Gujarat, India.
Corresponding Author: sonia.parikh@gcriindia.org


(a)https://orcid.org/0000-0002-0610-2935
(2)https://orcid.org/0000-0002-9425-3580
(4)https://orcid.org/0000-0003-2381-0391

Volume : 23 / Number : 1 / April 2021

 

Summary
A 27-year-old male with isolated recurrence of Myeloid sarcoma (MS) of the brain 8 months post successful treatment of acute myeloid leukemia (AML). Magnetic resonance images (MRI) and Computed tomography (CT) scans suggest altered signal intensity lesion in the sigmoid sinus right side infiltrating the cerebellar hemisphere with perilesional edema. Cerebrospinal fluid (CSF) cytology showed positive for malignant cells, involvement by AML is suggested. There was no relapse in the bone marrow. He has been treated with whole-brain radiation (24 Gy in 12 fractions) along with twice-weekly triple intrathecal injections consisting of cytarabine (70 mg), methotrexate (12 mg), and prednisolone (50 mg). After five courses of injections with intrathecal cytarabine, prednisolone, and methotrexate, CSF cytology of three consecutive times showed negative for
malignancy. Furthermore, he was scheduled for systemic chemotherapy with cytarabine 3 gm/m2 twice daily for three consecutive days. He has been in complete remission. Our findings, together with other reported cases, suggest that a favorable outcome could be achieved by intensive and combined treatment for an isolated relapse of myeloid sarcoma (MS) of the brain if the bone marrow persisted in remission. Keywords: Myeloid sarcoma: leukemia: Immunophenotyping: Chemotherapy.

Introduction
Acute myeloid leukemia (AML) origins from precursor tumor transformed hematopoietic cells which lead to clonal proliferation and accumulation of morphologically and functionally immature blast cells.1-5 Myeloid sarcoma, of which synonyms are chloroma, Myeloblastoma, and extramedullary leukemia, is a localized tumor composed of immature cells of granulocytic series, most cases of myeloid sarcoma occur with acute myeloid or chronic myeloid leukemias. Myeloid sarcoma involves subcutaneous tissue, the orbit, paranasal sinuses, lymph nodes, bones, periosteum, and central nervous system (CNS).6

MS can occur at any age, but it occurs most frequently in children and elderly patients. Males have slightly increased predominance over females.7 The incidence of MS is 1.4-9% of patients with the AML, but the incidence significantly increases in the AML M2 subtype, and it further rises to 20-25% in the AML-M2 harbors t(8;21).8 The incidence of isolated MS is 1.3%, while the incidence of isolated MS preceding AML is approximately 2.5%.9 Myeloid sarcoma occurs in 6.7%-23.3% of children with a concurrent diagnosis of AML.10 MS with CNS involvement are very rare, with an incidence of 3.25% in patients with MS.11 MS is more commonly seen in children, with African origin black children having higher incidence particularly in association with t(8;21).12 MS clinical presentation is exceptionally variable depending on the organs involved. The central nervous system, sinuses, and cranial bones are very rarely affected sites.

Morphologically, MS is classified as AML with maturation, acute myelomonocytic leukemia, or acute monoblastic/monocytic leukemia. The MS of the skin is frequently myelomonocytic or monoblastic/monocytic leukemia.11 Orbital and CNS MS is frequently myeloid leukemia with maturation.

Almost 55% of patients with MS have karyotypic abnormalities.11 MS-like AML can have recurrent genetic abnormalities, together with t(8;21), inv(16) (CBFB/MYH11), KMT2A, and additional karyotypic abnormalities include trisomy 8 and monosomy 7. Those with t(8;21) are more often located in the CNS and orbit.9 Cases with inv(16) tend to involve the uterus, intestine, and breast.11 Patients with KMT2A translocation most commonly involve the breast, skin, and are usually monoblastic /monocytic or myelomonocytic leukemia. We present here a 27-years-old male with facial nerve paralysis due to isolated recurrence of myeloid sarcoma of the brain.

Case Report
A 27-years-old male was admitted to our hospital with complaints of persistent high-grade fever and generalized weakness in June 2019. Peripheral blood examination showed hemoglobin of 9.3gm/dl, white blood cells (WBC) of 21700/mm3,and platelets of 19000/mm3 with 84% blasts. The bone marrow was hypercellular with 54% blasts, blasts were strong positive for myeloperoxidase (MPO) (98%). They did not contain typical Auer rods. Immunotyping by flow cytometry (20.06.2019) of the bone marrow showed that they were positive for CD 13 (97%), CD34 (88%), HLA-DR (98%), CD117 (78%). FISH for t (8;21) from peripheral blood was positive for AML1-ETO fusion. He was diagnosed as having acute myeloid leukemia (AML with t(8;21) (q22;q22.1); RUNX1-RUNX1T1) in the WHO (World Health Organization) classification.5 Acute myeloid leukemia induction chemotherapy “7+3” was started with a combination of daunorubicin 60 mg/m2 for three days and cytarabine (Ara-C) 200 mg/m2 24 hour infusion for seven days. Post induction, bone marrow (July 2019) showed no evidence of leukemia cells, and complete remission was achieved. He received four cycles of consolidation chemotherapy with high dose cytarabine (ARA-C) 3 gm/m2 twice daily on days 1,2 and 3 with a cumulative dose of 18 gm/m2 per cycle from (4.08.2019 to 16.11.2019). He was in complete remission for 12 months.

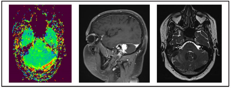
Figure 1: Magnetic resonance images, MRI on the bottom right and left images, and MR spectroscopy (MRS) over the top image of he brain suggest altered signal intensity lesion is noted along the sigmoid sinus on the right side. The lesion appears iso-intense on T1W,hypo-intense on T2W and FLAIR, and shows intense post-contrast enhancement, the lesion infiltrates the right cerebellar hemisphere. There is minimal perilesional T2W hyperintensity noted, suggestive of edema.
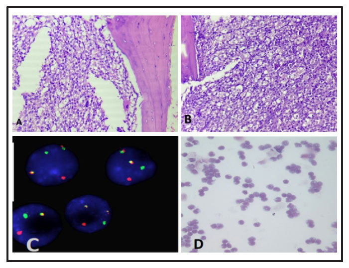
Figure 2: (A, B) Shows hypercellular marrow with increased marked blast cell population, replacing the hematopoietic elements (H and E x40). (C) Peripheral blood with FISH translocation t(8;21). (D) CSF cytology shows malignant cells.

In July 2020, he was readmitted to our hospital with complaints of headache, vomiting, and facial paralysis. Peripheral blood examination showed HB of 13 g/dl, WBC of 14000/mm3, PLT of 3,30,000/mm3. Bone marrow examination showed no evidence of leukemia cells. Contrast-enhanced computed tomography (CECT) brain showed temporal bone-soft tissue thickening surrounding the facial nerve canal and soft tissue opacity in the right external auditory canal. Magnetic resonance images and spectroscopy (MRI and MRS) of the brain suggest altered signal intensity lesion along the sigmoid sinus on the right side, infiltrate the right cerebellar hemisphere with minimal perilesional edema. The lesion appears iso-intense on T1W, hypo-intense on T2W and FLAIR, and shows intense post-contrast enhancement. These CT scan and MRI scan findings were compatible with those of myeloid sarcoma (MS) (Figure 1). CSF cytology was positive for malignant cells, involvement by AML was suggested, and a FISH study for t (8;21) from peripheral blood shows the sample was positive for the AML1-ETO fusion gene. (Figure 2)5

As there was no evidence of leukemia in the bone marrow, an isolated recurrence of the MS of the brain was suspected. Subsequently, he was given biweekly triple intrathecal injections consisting of cytarabine (70 mg), methotrexate (12 mg), and prednisolone (50 mg) along with whole-brain radiation (24 Gy in 12 fractions) till 19.8.2020.

After five courses of injections with intrathecal cytarabine, prednisolone, and methotrexate, CSF cytology of three consecutive times showed negative for malignancy, facial paralysis also improved. Furthermore, he had no other neurological deficit except facial nerve palsy. Though there was no bone marrow relapse, systemic chemotherapy, including cytarabine 3 gm/m2 twice daily for three consecutive days with a cumulative dose of 18 gm/m2 was scheduled. Unfortunately, he was lost to follow up. Recently, he presented with respiratory distress and peripheral blood examination showed Hb of 7 gm/dl, WBC of 58000/mm3, and platelets of 22000/mm3 with 21% blasts which suggest medullary relapse and succumbed to the disease.

Discussion

The first case of AML with MS was described by Turk in 1903 and suggested the origin is the same for both the tumors.13 MS can occur in different sites such as bones, soft tissues, skin, lymph nodes, central nervous system, bladder, and breast.14 In the study by Pileri et al of 92 patients with newly diagnosed MS, 35% and 38% had a simultaneous or previous treated AML.11 The molecular and cytogenetic AML mutations might be associated with the development of MS. MS with translocation t(8;21)-positive cases commonly occur in the orbital, and CNS region in children,12 while patients with inv(16) have a high incidence of stomach, intestine, or breast involvement, specifically in adults.11 Our case lies in the rare location of the MS and its relationship with an AML with translocation t(8;21).

Byrd and Weiss 15 reviewed 24 patients from various trials since 1973 with patients having isolated recurrences of MS following prior AML treatment. The isolated MS relapse generally develops bone marrow relapse. In these patients, the mean time interval to develop bone marrow relapse was 7 months, and the prognosis was poor. Only 3 of 24 patients had MS of the brain.16,17 The mean time interval from diagnosis of AML to isolated MS relapse was 2 years. All patients were treated with irradiation, intrathecal injection, and/or operation. Systemic chemotherapy was administered in three patients during marrow remission.16 Six patients remained alive even though the follow-up periods were varied. In our study, the time interval from diagnosis of AML to isolated MS relapse was 13 months. The time interval to develop bone marrow relapse was 21 months.

Gustavo et al reviewing the literature, identified 21 cases with intracranial MS.17 Fifty-four percent had intraparenchymal lesions of the brain, and 45% of the patients had lesions in the extra-axial brain compartment. MS appears even before the initial diagnosis of AML by years in 25% of the patients.18 Of the total patients, 91% showed a hyper-dense lesion on a non-contrast CT scan.

Migration of leukemic cells from the bone marrow of periosteum and dura matter into the brain parenchyma can occur once there is disruption of the blood-brain barrier. Bone destructions are not commonly observed with MS. Out of 24 patients, 1 patient showed visible bone destruction of the temporal bone and simultaneous involvement of temporal lobe parenchyma.19 Seven patients were reviewed with brain MRI. MS showed either a hyper, iso-or hypo-intense signal on T2-weighted images. 4 patients showed T2 hyperintensity while 3 patients showed T2 iso or hypo-intensity.19 In our case, MS of the brain was diagnosed by MRI and CSF cytology. MRI brain of our patient showed hypo-intensity on T2-weighted images.

The currently recommended treatment options for MS are the combination of chemotherapy and radiotherapy. There are no pathologic or clinical prognostic features, however, survival is better in patients who undergo allogenic bone marrow transplant.11 Tsimberidou et al assessed the outcome of 23 patients with AML was compared with MS, and they found that the event-free survival was longer in patients with isolated MS.20

Recently, Lee et al in a meta-analysis of 82 studies in which variables such as the extent of resection, treatment modality, and mortality were correlated and they found that surgical resection and extent of resection were not significantly associated with mortality. Patients who received chemotherapy or radiotherapy had lower rates of mortality versus patients who did not received chemotherapy or radiotherapy.21 In the present case study the patient received whole-brain radiation therapy with biweekly intrathecal chemotherapy. After these treatments, CSF cytology of three consecutive times showed no evidence of malignancy, and there was an improvement in facial paralysis. Even though there was no relapse in the bone marrow, prophylactic chemotherapy was planned. Unfortunately, he was lost to follow up. Recently, he presented with respiratory distress and peripheral blood examination showed Hb of 7 gm/dl, WBC of 58000/mm3, and platelets of 22000/mm3 with 21% blasts which suggest medullary relapse and succumbed to the disease. From these findings, we advise that chemotherapy must be started after the completion of local therapy of the brain.

Conclusion

Since randomized prospective studies are lacking, there is no proper consensus on the treatment of MS. The currently recommended treatment regimen in patients presenting with isolated MS of the brain is localized treatment with cranial irradiation and or operation with intrathecal chemotherapy followed by prophylactic systemic chemotherapy. As from these findings, we advise that chemotherapy should be started after the completion of local treatment to the brain. Close follow-up of the patient is needed following AML treatment and any new onset of neurological symptoms should be thoroughly evaluated.

References

1. Döhner H, Weisdorf DJ, Bloomfield CD et al: Acute Myeloid Leukemia. N Engl J Med 2015; 373: 1136-1152
2. Weinberg OK, Sohani AR, Bhargava P et al: Diagnostic workup of acute myeloid leukemia. Am J Hematol 2017; 92: 317-321
3. Arber DA, Borowitz MJ, Cessna M et al: Initial Diagnostic Workup of Acute Leukemia. Guideline from the College of American Pathologists and the American Society of Hematology. Arch Pathol Lab Med 2017; 141: 1342-1393
4. Döhner H, Estey E, Grimwade D et al: Diagnosis and management of AML in adults. 2017 ELN recommendations from an international expert panel. Blood 2017; 129: 424-447
5. Arber DA, Orazi A, Hasserjian R et al: The 2016 revision to the World Health Organization classification of myeloid neoplasms and acute leukemia. Blood 2016; 127: 2391-2405
6. Byrd JC, Edenfield WJ, Shields OJ et al: Extramedullary myeloid cell tumors in acute nonlymphocytic leukemia. A clinical review. J Clin Oncol 1995; 13: 1800-1816
7. Kawamoto K, Miyoshi H, Yoshida N et al:Clinicopathological, cytogenetic, and prognostic analysis of 131 myeloid sarcoma patients. Am J Surg Pathol 2016; 40: 1473-1483
8. Lai Y-Y, Qiu J-Y, Jiang B et al: Characteristics and prognostic factors of acute myeloid leukemia with t(8;21) (q22; q22) Zhongguo Shi Yan Xue Ye Xue Za Zhi. 2005; 13: 733-740
9. Reinhardt D, Creutzig U: Isolated myelosarcoma in children-update and review. Leuk Lymphoma 2002; 43: 565-574
10. Stve HK, Sandahl JD, Abrahamsson J et al: Extramedullary leukemia in children with acute myeloid leukemia: A population-based cohort study from the Nordic Society of Pediatric Hematology and Oncology. Pediatr Blood Cancer 2017; 64: e26520
11. Pileri SA, Ascani S, Cox MC et al: Myeloid sarcoma: Clinico-pathologic, phenotypic, and cytogenetic analysis of 92 adult patients. Leukemia 2007; 21: 340-350
12. Bönig H, Göbel U, Nürnberger et al: Bilateral exophthalmus due to retro-orbital chloromas in a boy with t(8;21)-positive acute myeloblastic leukemia. Pediatric Hematology and Oncology 2002; 19 :597-600
13. Rappaport H: Tumors of the Hematopoietic System, Atlas of Tumor Pathology. Washington, DC, USA: Armed Forces Institutes of Pathology; 1966
14. Mangla D, Dewan M, Meyer DR. Adult orbital myeloid sarcoma (granulocytic sarcoma): two cases and review of the literature. Orbit 2012; 31:438-440
15. Byrd JC, Weiss RB: Recurrent granulocytic sarcoma: an unusual variation of acute myelogenous leukemia associated with 8;21 chromosomal translocation and blast expression of the neural cell adhesion molecule. Cancer 1994; 73: 2107-2712
16. Infante AJ, MacRae MA, Forbes GS et al: Intracranial granulocytic sarcoma complicating childhood acute myelomonocytic leukemia. Am J Pediatr Hematol Oncol 1981; 3: 173-176
17. Gustavo M, Cayci Z: Intracranial CNS manifestations of myeloid sarcoma in patients with acute myeloid leukemia: Review of the literature and three case reports from the author’s Institution. J Clin Med 2015; 4: 1102-1112
18. Avni B, Koren-Michowitz M: Myeloid sarcoma. Current approach and therapeutic options. Adv Hematol 2011; 2: 309-316
19. Murakami M, Uno T, Nakaguchi H et al: Isolated recurrence of intracranial and temporal bone myeloid sarcoma-Case report. Neurol Med Chir Tokyo 2011; 51: 850-854
20. Tsimberidou AM, Kantarjian HM, Wen S et al: Myeloid sarcoma is associated with superior event-free survival and overall survival compared with acute myeloid leukemia. Cancer 2008; 113: 1370-1378
21. Lee D, Omofoye OA, Nuño MA et al: Treatment Outcomes of Intracranial Myeloid Sarcomas: A Meta-Analysis. World Neurosurgery 2021; 148: 29-37

OPD Information

NABH Certified

Ethics Committee Accredited for NABH

ISO 15189:2012
@ The Gujarat Cancer & Research Institute, All Rights Reserved.